2025.7.13 10:12
Olvasási idő 0:15
Tóth Csilla

REFRESHER-KVÍZ: Mennyit tudsz az emberi testről?

TECH-TUDOMÁNY EMBERI TEST ORVOS ORVOSTUDOMÁNY

Kutacs, öreglyuk, ádámcsutka, kalapács – testünk tele van érdekes vagy éppen vicces nevű részekkel. Te tudod, ezek hol találhatóak?

Kvízünk visszarepít az iskolai bioszórákra, azonban itt a pluszpontot érő kérdésekre megyünk rá, és inkább a test érdekesebb elnevezésű részeire kérdezünk rá. Hol van az üllő, mi a patella és hol találhatóak a Langerhans-szigetek?

Kövessétek a REFRESHER-t, iratkozzatok fel közösségi csatornáinkra is, hogy ne maradjatok le a folyamatosan frissülő tartalmainkról: @refresherhu néven ott vagyunk a TikTokon, az Instagramon, a YouTube-on, a Spotifyon és a Facebookon is!
Kvíz
Mennyire ismered az emberi testet?
Kezdjük egy könnyűvel: mit véd pontosan az ádámcsutka?
Forrás Getty Images
1 9
Kezdjük egy könnyűvel: mit véd pontosan az ádámcsutka?
A nyelvet és a fogakat a gyomorsavtól
A hangszálakat és a gégét
A tüdőt védi a légzéssel beáramló káros anyagoktól
A félrenyelt falatoktól védi a légcsövet
Magyarázat
Az ádámcsutka a hangszálakat és a gégét védi, és nevével ellentétben nem kizárólag csak a férfiaknak, de a nőknek is van. Méretük gyerekkorban mindkét nemnél hasonló, a serdülőkor beköszöntével azonban a fiúknak a tesztoszteronszinttel egyetemben megnő, míg a lányoknak belesimul a nyak vonalába, már amikor nem. Ahogy a mélyebb hangú férfiaknál is látszik, úgy lehet, hogy egy mélyebb hangú nőnek is jobban kitüremkedik a gégeporc.
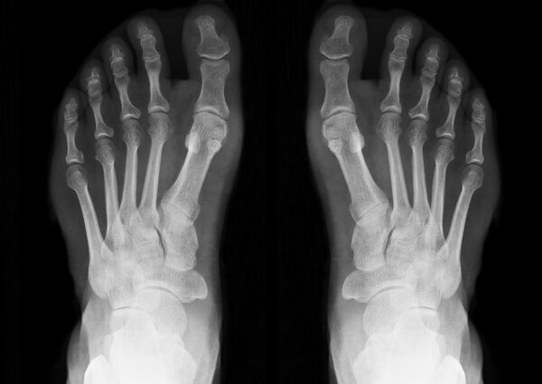
Hol található a testünkben a sajkacsont?
Forrás GETTY IMAGES
2 9
Hol található a testünkben a sajkacsont?
A kézen
A lábon
A nyaki csigolyáknál
A farcsontnál
Magyarázat
A sajkacsont (os scaphoideum) egyike a nyolc apró csontnak a csuklóban, amelyeket összefoglaló néven kéztőcsontoknak hívunk. A nevét a görög skaphe-ból, ami hajót jelent és az eidos-ból kapta, ami alakot jelent, bár azt mondják, önmagában inkább egy kesudióra hasonlít.
Mi közismertebb nevén a patella?
Forrás GETTY IMAGES
3 9
Mi közismertebb nevén a patella?
Combcsont
Sípcsont
Szárkapocscsont
Térdkalács
Magyarázat
Ez bizony a térdkalács.
4 9
Hol találhatóak a Langerhans-szigetek?
Izland mellett
A fülben
A pajzsmirigynél
Magyarázat
A Langerhans-szigetek a hasnyálmirigyhez tartozó sejtcsoportok, melyek szigetszerűen helyezkednek el. Nevét Paul Langerhans német patológusról kapta.
Na és mi a Darwin-dudor?
Forrás GETTY IMAGES
5 9
Na és mi a Darwin-dudor?
Az ember hüvelykujja
A nagylábujjnál található bütyök
Egy kis, porc alapú kiemelkedés a fülkagylón
Az ember sarkának egy alternatív elnevezése
Magyarázat
A Darwin-dudor egy evolúciós maradvány. Az elnevezés Charles Darwintól származik, aki az „Ember származása” („The Descent of Man”) című művében jegyezte fel először ennek a kis, a fülkagyló felső harmadában található kitüremkedésnek a jelenlétét.
Hol van az öreglyuk?
Forrás GETTY IMAGES
6 9
Hol van az öreglyuk?
A medencecsontban
A koponyában
A bordák között
A bölcsességfogban
Magyarázat
Az öreglyuk (latinul foramen magnum) egy körülbelül 3 cm átmérőjű lyuk a nyakszirtcsont alsó részén. Itt lép ki a gerincvelő, az agyideg, az elülső és hátulsó tövisartériák, az axisnak a ligamentum occipitoaxialisa és a ligamentum alarisa is.
Mi a kutacs?
Forrás GETTY IMAGES
7 9
Mi a kutacs?
A csecsemő koponyájának puha alkotórésze a koponyavarratok találkozóhelyén
A kéztőcsontok összessége
Az emésztőcsatorna egyik része
A lép népies elnevezése
IGAZ vagy HAMIS? Az embernek van potroha.
Forrás GETTY IMAGES
8 9
IGAZ vagy HAMIS? Az embernek van potroha.
IGAZ
HAMIS
Magyarázat
Természetesen az állítás hamis.
Kengyel, üllő, kalapács. Hol találhatóak meg testünkön ezek a részek?
Forrás GETTY IMAGES
9 9
Kengyel, üllő, kalapács. Hol találhatóak meg testünkön ezek a részek?
A hallójáratban
A gyomorban
A kisagyban
A petefészekben
Magyarázat
Ők hárman alkotják a hallócsontokat: a kalapács nyele a dobhártyához, a kengyel talpa pedig a belső fül ovális ablakához rögzül, míg az üllő a kalapáccsal és a kengyellel is ízületet képez.
Kvíz kiértékelése